蕨中央動物病院の知っておいた方が良い病気のお話
胃リンパ腫
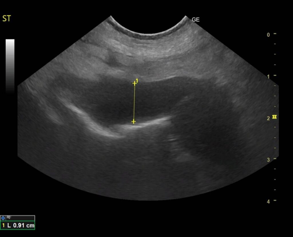
9歳のコーギーが超音波検査で胃壁の肥厚を主訴に来院されました 。
検査をすると胃のリンパ腫が疑われました。 抗がん剤治療で食欲不振と嘔吐は改善しました。
胃癌の治療は癌の種類によって変わってきます。 抗がん剤が効く胃癌もあれば手術が第一選択の胃癌もあります。 当院は飼い主様とよく相談して治療方針を決定します。 中高齢のワンちゃん、 ネコちゃんで気になる症状がありましたら積極的に検査を実施しま しょう。
埼玉県蕨市にある蕨中央動物病院。
埼玉県でエキゾの診療と言ったら、まずは当院にご相談ください!
蕨市、戸田市、川口市、さいたま市南区や都内から多くの方にお越しいただいております。
ご予約・お問い合わせはLINE(https://lin.ee/V6OqviF)またはお電話(048-431-3003)よりどうぞ!












